Bayrampaşa Belediye Başkanı Hasan Mutlu’nun çağrısıyla düzenlenen “İradeye Saygı Yürüyüşü”ne çok sayıda vatandaş katıldı.
Aydın Derbisinde Eşitlik
Söke 1970 SK ve Nazillispor arasındaki derbi 1-1 sona erdi, son saniyede goller geldi.
İran’dan ABD ile Diplomasi Mesajı
İran Dışişleri Bakanı Arakçi, ABD ile müzakerelerin fırsatlarını vurgulayarak diplomasiye ihtiyaç olduğunu belirtti.
Tekirdağ’da Gazze’ye Destek Etkinliği
Tekirdağ’da, Küresel Sumud Filosu’na destek için balıkçı tekneleriyle protesto etkinliği düzenlendi.
Saraybosna’da Filistin İçin Destek Yürüyüşü
Bosna Hersek’te halk, İsrail’in Gazze’deki soykırımına karşı Küresel Sumud Filosuna destek için yürüdü.
Bursa’da Kış Spor Okulları Başladı
Bursa Büyükşehir Belediyesi, 4-16 yaş aralığındaki çocuklar için Kış Spor Okulları’nı başlatarak, 12 farklı branşta eğitim imkanı sunuyor. Başkan Bozbey, çocukların spora yönlendirilmesi gerektiğini vurguladı.
Marco Rubio: Hamas savaştan sonra ne olacağı konusunda prensipte anlaştı
Gazze’de devam eden ateşkes süreci ile ilgili bir açıklama yapan ABD Dışişleri Bakanı Marco Rubio, “İsrail ile Hamas arasında varılan anlaşmaya ilişkin görüşmeler sürüyor” dedi.
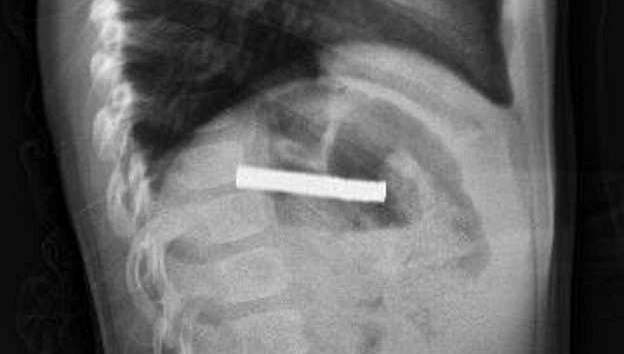
Boğazından 19 adet mıknatıs çıkartıldı
Elazığ’da 3 yaşındaki bir çocuğun yuttuğu 19 mıknatıs, Fırat Üniversitesi Hastanesi’nde başarılı bir operasyon ile çıkartıldı.
İstanbul’da 7/24 çamaşır hizmeti
İstanbul Büyükşehir Belediyesi (İBB), öğrenci dostu yurt politikasıyla hem özel hem de diğer kamu yurtlarına göre çok daha uygun fiyatlı, kaliteli ve güvenli bir seçenek sunuyor. Öğrencilere sabah kahvaltısı ve talepleri doğrultusunda hazırlanan akşam yemekleri hazırlanıyor.
Hindistan’da öksürük şurubu skandalı: Bir doktor gözaltına alındı
Hindistan’da 11 çocuğun “toksik” öksürük şurubundan ölümü üzerine bir doktor gözaltına alındı.
Aliağalı taekwondoculardan iki madalya
Arnavutluk’un Başkenti Tiran’da Tiran Open G1 Uluslararası Taekwondo Turnuvası’nda Aliağalı sporcular iki madalya kazandı.
Engel tanımayan sevgi! Lise aşkı nikah masasında bitti
Muğla’nın Fethiye ilçesinde 17 yaşında geçirdiği trafik kazası sonucu engelli kalan ve tekerlekli sandalye kullanan Ömer Arıkan (26), lise aşkı Dilara Dural (26) ile evlendi.
Suriye’de Esad sonrası ilk seçimler yapılıyor: 3’te 1’ini HTŞ atayacak
Halk Meclisi Seçimleri Yüksek Komitesi’ne göre, oy verme merkezleri yerel saatle sabah 9’da çoğu ilde açıldı. Onaylanmış seçim organlarının üyeleri, resmi oy kartlarını kullanarak oylarını kullandılar. Devlet medyası, ön sonuçların pazar günü geç …
Çankırı’da ot yangını
Çankırı’da çıkan ot yangını, itfaiye ekiplerinin müdahalesi ile söndürüldü.